Un implant dentar este un dispozitiv medical care este inserat chirurgical în osul maxilar sau mandibular pentru a înlocui un dinte lipsă. Implantul dentar acționează ca un înlocuitor pentru rădăcina unui dinte natural și servește ca bază pentru a susține o coroană dentară, un pod dentar sau o proteză.
Implanturile dentare sunt fabricate, de obicei, din titan, un material biocompatibil care este acceptat bine de corp și permite osului să se integreze (să se atașeze) ferm în jurul implantului, un proces cunoscut sub numele de osteointegrare.
Procesul de inserare a unui implant dentar implică mai multe etape:
1. Planificarea: Înainte de inserarea implantului, medicul dentist va realiza o evaluare amănunțită, care poate include radiografii sau scanări 3D pentru a planifica exact poziționarea implantului.
2. Intervenția chirurgicală: Implantul este inserat în osul maxilar sau mandibular în timpul unei proceduri chirurgicale.
3. Vindecarea și osteointegrarea: După inserarea implantului, este necesar un timp pentru vindecarea țesuturilor și integrarea osului în jurul implantului. Acest proces poate dura câteva luni.
4. Atașarea componentei protetice: Odată ce implantul s-a integrat complet, o componentă protetică, cum ar fi o coroană, un pod sau o proteză, este atașată de implant.
Implanturile dentare sunt o soluție populară și eficientă pentru înlocuirea dinților lipsă, deoarece oferă un aspect și o funcționalitate similare cu dinții naturali, contribuind la îmbunătățirea esteticii faciale și a funcției masticatorii.
COMPONENTELE IMPLANTULUI DENTAR:
Implantul Dentar: confecționat din titan biocompatibil și durabil, permite integrarea solidă în țesutul osos prin intermediul procesului de osteointegrare. Este inserat chirurgical în osul maxilar sau mandibular și acționează ca o rădăcină artificială, oferind suport robust pentru celelalte componente.
Bontul: Bontul, conectat la implant după integrarea acestuia în os, creează legătura dintre implant și coroană. Acest element de legătură joacă un rol esențial în transmiterea forțelor masticatorii de la coroană către implant, contribuind la distribuirea uniformă a presiunii și asigurând o stabilitate solidă. Bonturile pot varia în funcție de necesitățile fiecărui pacient și sunt concepute pentru a crea o bază solidă pe care coroana dentară va fi ulterior fixată.
Coroana: Reprezintă partea vizibilă a dintelui, plasată deasupra bontului. Este realizată din materiale durabile și estetice, precum ceramică sau zirconiu, pentru a se potrivi cu aspectul natural al dinților vecini. Coroanele sunt confecționate în laboratoare dentare, având în vedere aspectul individual al fiecărui pacient. Aceasta este proiectată să se potrivească perfect în cavitatea orală, redând un zâmbet estetic și o funcțional.
Care sunt consecințele pierderii unui dinte?
În absența unui dinte structura osoasă a maxilarului suferă modificări ireversibile. Lipsa presiunii exercitate de masticație conduce la resorbția progresivă a osului.
Pe lângă resorbția osoasă, dinții învecinați tind să se deplaseze către spațiul lăsat gol de dinte. Acest lucru poate duce, în timp, la apariția unor spații neuniforme între dinți în diferite zone ale maxilarului.
În lipsa dinților, cei opuși nu mai au o forță care să le echilibreze, tendința fiind de a se deplasa către spațiul gol. Aceasta afectează alinierea generală a dinților.
Degradarea structurii osoase influențează aspectul facial, modificând modul în care pielea se așează peste oase și contribuind la apariția unui aspect îmbătrânit și a ridurilor neasociate cu vârsta.
Pierderea unui dinte nu afectează doar aspectul estetic, ci și alimentația. Absența unui dinte poate restricționa tipurile de alimente consumate și modul de alimentație.
Cel mai grav impact poate fi la nivelul încrederii și stimei de sine, provocând modificări în comportament și stilul de viață, variind de la efecte minime până la stări de anxietate.
Cum se realizează procedura inserării unui implant dentar?
ETAPA 1: Diagnostic și planificare
Înainte de toate, se efectuează un diagnostic și se stabilește planul de tratament. Medicul va analiza în detaliu starea de sănătate generală și specifică a zonei afectate a pacientului, precum și particularitățile anatomice și biomecanice. După această evaluare, medicul va propune cele mai adecvate soluții pentru pacient.
ETAPA 2: Intervenția chirurgicală
Imediat înainte de operație, pacientului i se va administra fie o anestezie locală, fie una generală. Odată ce anestezia își produce efectul, medicul începe partea chirurgicală, realizând o incizie pentru a accesa zona unde va fi plasat implantul. Se folosesc burghie de diferite dimensiuni pentru a pregăti locul, iar apoi implantul este inserat cu precizie.
ETAPA 3: Vindecarea
După intervenția chirurgicală, pacientului i se permite un timp de vindecare, asigurându-se că implantul se integrează corect și complet cu osul. În acest timp, medicul poate realiza o restaurare provizorie, permițând pacientului să aibă un aspect normal în viața de zi cu zi.
ETAPA 4: Restaurarea finală
Când zona operată s-a vindecat complet, se trece la etapa de restaurare finală. Se ia o amprentă a zonei, care va fi trimisă la laboratorul dentar. Acolo, pe baza informațiilor din amprentă, se va crea proteza definitivă. Aceasta va fi ulterior fixată în gura pacientului, finalizând astfel procesul de implantare dentară.
Tipuri de protetică pe implanturi dentare
Fiecare persoană este unică și are nevoi specifice când vine vorba de înlocuirea dinților lipsă. De la soluții personalizate pentru un singur dinte până la proteze complete, gama largă de opțiuni de protetică pe implanturi dentare a revoluționat viața pacienților din întreaga lume.
Indiferent de situația dvs. specifică, investiția într-un zâmbet sănătos și frumos este una care aduce recompense îndelungate. În continuare, vom explora diferitele opțiuni de protetică disponibile, pentru ca dumneavoastră să puteți lua decizia informată care vă va aduce satisfacția și încrederea în propriul zâmbet.
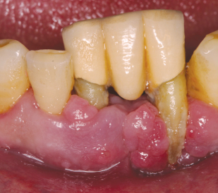
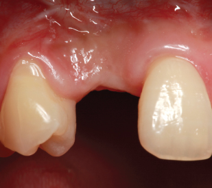
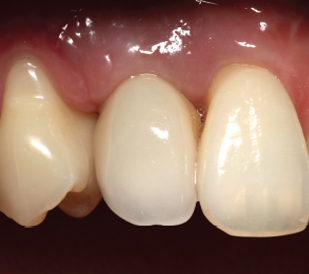
Înlocuirea unui singur dinte: Atunci când e vorba de înlocuirea unui singur dinte lipsă, medicul va introduce un implant în os și va fixa o coroană personalizată pe acesta. Astfel, veți redobândi aspectul natural și funcționalitatea dintelui dumneavoastră.
ÎNAINTE
DUPĂ
Punte dentară fixată pe implanturi: Dacă există mai mulți dinți lipsă într-o zonă, o punte dentară pe implanturi este alegerea potrivită. Aceasta permite înlocuirea confortabilă a unui sau mai multor dinți lipsă, conectând protezele între ele prin intermediul implanturilor.
ÎNAINTE
DUPĂ
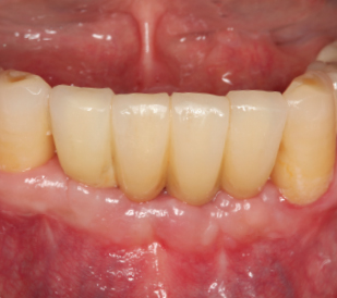
Proteze pe implanturi: Când vine vorba de protezele pe implanturi, există două opțiuni principale:
1. Proteze fixe pe implanturi: O soluție permanentă. Implanturile stabile susțin o proteză fixă sau o punte dentară. Restabilește complet funcționalitatea și aspectul natural al zâmbetului.
2. Proteze detasabile: Acestea sunt susținute de implanturi și pot fi îndepărtate la nevoie. Oferă versatilitate și confort, păstrând totodată sănătatea osului sub proteză.
ÎNAINTE
DUPĂ
Ce înseamnă operația de adiție osoasă?
Adiția osoasă este o intervenție realizată pe pacienții care nu dispun de suficient os alveolar pentru plasarea implantului. Procedura implică utilizarea diferitelor tipuri de materiale pentru grefa osoasă, cum ar fi autogrefa, xenogrefa, alogrefa sau materiale osoase artificiale, pentru a dezvolta masa osoasă alveolară necesară.
Tipuri de materiale pentru adiția osoasă
Autogrefa: Este o grefă prelevată direct din corpul pacientului, fiind adesea preferată datorită rezultatelor superioare pe care le oferă în procesul de adiție osoasă.
Xenogrefa: Aceste grefe sunt obținute din oasele altor specii, cum ar fi bovine sau porcine, și sunt utilizate datorită similarității structurale a osului între diferite specii.
Materiale sintetice (Alloplastice): Aceste materiale sunt create în laborator și sunt utilizate pentru a stimula formarea naturală a osului în zona unde va fi inserat implantul dentar, având un risc redus de infecții.
Alogrefa: Este o grefă osoasă umană, provenită de la un donator uman, oferind o alternativă pentru cei care doresc să evite procedurile chirurgicale asociate cu prelevarea autogrefelor.
Recuperarea după implantul dentar
Recuperarea după inserarea unui implant dentar este un proces esențial care necesită atenție și îngrijire adecvată. Procesul de vindecare și adaptare poate varia de la o persoană la alta, în funcție de diferiți factori, inclusiv complexitatea intervenției și răspunsul individual al organismului la procedură.
Simptome și îngrijire postoperatorie: După intervenția chirurgicală, este normal să experimentați unele simptome, cum ar fi durere, umflare sau vânătăi în zona afectată. Aceste simptome sunt temporare și pot fi gestionate prin medicamente prescrise de medicul stomatolog și prin aplicarea de comprese reci.
Igiena Orală: Menținerea unei igiene orale riguroase este crucială pentru prevenirea infecțiilor și promovarea unei vindecări rapide. Este recomandat să evitați periajul dur în zona implantului pentru primele zile și să utilizați o apă de gură antiseptică pentru a menține zona curată.
Alimentația: În primele zile postoperatorii, este indicat să adoptați alimente moi și lichide, evitând alimentele dure sau fierbinți care pot irita zona implantului. Hidratarea adecvată este, de asemenea, esențială pentru procesul de vindecare.
Vizitele de control: Vizitele regulate la medicul stomatolog sunt necesare pentru a monitoriza progresul vindecării și pentru a asigura că implantul se integrează corect în os. Aceste vizite permit, de asemenea, identificarea și tratamentul timpuriu al oricăror potențiale complicații.
Timpul de recuperare: Timpul necesar recuperării complete poate varia, dar majoritatea pacienților se pot aștepta la un proces de vindecare care durează de la câteva săptămâni până la câteva luni. Respectarea instrucțiunilor postoperatorii și a recomandărilor medicului dentist este esențială pentru un rezultat favorabil și pentru funcționalitatea pe termen lung a implantului dentar.
Dacă ești medic stomatolog și dorești să afli mai multe informații despre implanturile Dentium și beneficiile pe care le pot aduce pacienților tăi, nu ezita să iei legătura cu reprezentantul tău zonal. Acesta îți va furniza toate detaliile necesare și te va ghida pentru a face cea mai informată și eficientă alegere în practica ta.




