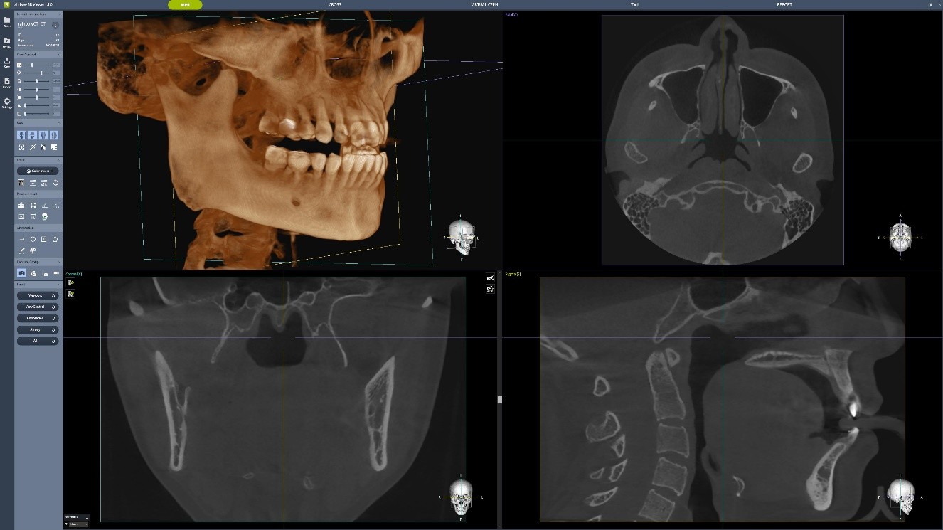
Dentium Rainbow™ CT: Soluția avansată pentru radiologie dentară

În domeniul radiologiei dentare, tehnologia avansată joacă un rol esențial, iar Dentium Rainbow™ CT redefinește standardele imagisticii dentare. Acest echipament inovator oferă soluții de înaltă precizie pentru diagnosticul și planificarea tratamentelor ortodontice și implantologice. În acest articol, vom explora caracteristicile revoluționare ale Rainbow™ CT și impactul său asupra practicii dentare moderne.

Acest articol explorează caracteristicile ale echipamentului Rainbow™ CT.

Câmp de Vizualizare Extins

Dentium Rainbow™ CT oferă un câmp de vizualizare extins de 16×18 cm, ideal pentru diagnosticul complet, de la planificarea implantului până la ortodonție. Funcția de suprapunere a imaginilor (Stitching) permite captarea detaliată a zonelor mandibulare și maxilare, generând imagini clare și precise, esențiale pentru intervențiile chirurgicale maxilo-faciale și diagnosticul ortodontic.

FOV Standard 16×10

Imagine fără distorsiuni, cu un câmp de vizualizare standard larg și clar. Permite diagnosticul nu doar pentru structuri bilaterale, ci și pentru căile respiratorii.

FOV Local 5×5

Modul de tratament endodontic pentru diagnostic special produce o imagine clară cu o doză redusă de radiații.

Stitching 16×18

Prin funcția de suprapunere a imaginilor (Stitching), se pot diagnostica zonele care nu ar putea fi vizualizate cu o imagine CT obișnuită, prin captarea imaginilor din zonele mandibulare și maxilare. Imaginile obținute sunt suprapuse pentru a genera o imagine mai largă și mai clară. Acest protocol este optimizat pentru intervenții chirurgicale maxilo-faciale și diagnostic ortodontic.

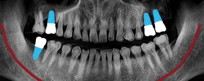
Planificarea implantului asistată de Inteligență Artificială (AI)

Rainbow™ CT integrează funcții avansate de Inteligență Artificială pentru a automatiza și simplifica sarcinile de rutină. De la identificarea poziției dinților lipsă până la stabilirea poziției inițiale a implantului și coroanei, AI-ul Dentium asigură o planificare eficientă și precisă a tratamentelor.

Implant/Coroană: Inteligența Artificială Dentium detectează automat poziția dinților lipsă și stabilește poziția inițială a implantului și coroanei pentru a simplifica planificarea implantului.

Nerv: Identificarea canalului nervului alveolar inferior se face în doar 15 secunde. Inteligența Artificială Dentium asigură un diagnostic mai precis și de încredere.

Arcada: Algoritmul AI generează automat linia arcadei în doar câteva secunde, cu o precizie ridicată.

Tehnologia MAR Plus – Reducerea Artefactelor Metalice

Dentium MAR (Metal Artifact Reduction) reduce automat artefactele metalice cauzate de implanturi, obturații sau restaurări, asigurând imagini clare și precise. Aceasta contribuie la confirmarea diagnosticului și minimizează riscul de interpretare greșită.

Panorama cu autofocalizare și algoritm de reducere a zgomotului de imagine

Datorită tehnologiei multi-strat, Rainbow™ CT captează și segmentează automat cele mai bune imagini, pe care le compilează într-o singură panoramă optimizată. Algoritmul de reducere a zgomotului (De-Noising) asigură calitatea superioară a imaginii, eliminând interferențele și detaliile nedorite.

Panoramă cu autofocalizare
Algoritm de reducere al interferentelor (DE-NOISING)

Specificații tehnice

  • Funcții: CBCT + Panorama + Cephalo / Optiuni Ceph: Scanare Ceph
  • Timp de scanare(sec): CT: 19, Panorama: 19, Cephalo: 19
  • FOV (cm): 5×5, 16×10, 16×18 (Stitching)
  • Dimensiunea punctului focal: 0,5 mm pentru imagini clare și precise.
  • Tipul senzorului: CMOS, oferind sensibilitate și claritate ridicată.
  • Timp de reconstrucție: Mai puțin de 60 de secunde, pentru un flux de lucru eficient.
  • Dimensiunea voxelului: Min 200 µm, esențială pentru detalii fine în imagistică.
  • Accesibilitate: Echipamentul este conceput pentru a fi accesibil atât pentru pacienții în picioare, cât și pentru cei în scaun cu rotile
DIMENSIUNI (2in1 , 3in1)

Dentium Rainbow™ CT este echipamentul de imagistică dentară ideal pentru orice practică modernă, oferind funcționalități avansate, flexibilitate în diagnosticare și o calitate superioară a imaginii. Cu ajutorul tehnologiei AI și al specificațiilor tehnice de top, Rainbow™ CT asigură atât precizie, cât și eficiență în toate etapele tratamentului.

Dacă sunteți interesat să aflați mai multe despre acest produs, vă rugăm să ne contactați. Suntem aici pentru a vă oferi informații suplimentare și pentru a răspunde tuturor întrebărilor dumneavoastră.

G Logo Verde

Citește și despre

Scrie un comentariu

Prezentare generală a confidențialității

Acest site folosește cookie-uri pentru a-ți putea oferi cea mai bună experiență în utilizare. Informațiile cookie sunt stocate în navigatorul tău și au rolul de a te recunoaște când te întorci pe site-ul nostru și de a ajuta echipa noastră să înțeleagă care sunt secțiunile site-ului pe care le găsești mai interesante și mai utile.