

CBCT • Panoramică – într-un sistem compact, rapid și construit pentru practica modernă.
Dentium Rainbow™ CT 2-in-1 oferă imagini panoramice 2D și CBCT 3D într-un singur sistem, reducând costurile, spațiul ocupat și complexitatea infrastructurii radiologice. Sistemul este conceput pentru a răspunde nevoilor implantologilor, chirurgilor orali și medicilor proteticieni care au nevoie de o vizualizare clară a structurilor anatomice dento-alveolare și maxilo-faciale.
Modul panoramic digital oferă imagini clare și uniforme, realizate cu detector CMOS de înaltă sensibilitate, având o rezoluție de 120 µm/pixel.
Protocoalele ALARA reduc la minimum doza de radiație, iar modul pediatric dedicat ajustează automat parametrii de expunere pentru copii.
Confort ridicat: scanare rapidă și mișcare lină a brațului, cu zgomot redus.
Siguranță radiologică: expunere minimizată conform principiilor ALARA.
Accesibilitate: examinare facilă pentru pacienți cu mobilitate redusă.
Rezultate clare: imagini precise care facilitează comunicarea medic–pacient.
Experiență modernă: sistem digital performant, fără senzație de claustrofobie.
Te invităm în showroom-ul GURSK pentru o demonstrație completă a sistemului Rainbow CT 2 în 1. Vezi fluxul imagistic de la zero, testează software-ul, analizează viteza, claritatea și discută deschis cu specialiștii noștri despre aplicațiile în practica ta clinică.
Soluție completă 2-în-1: integrează imagistica 3D și 2D într-un singur sistem compact.
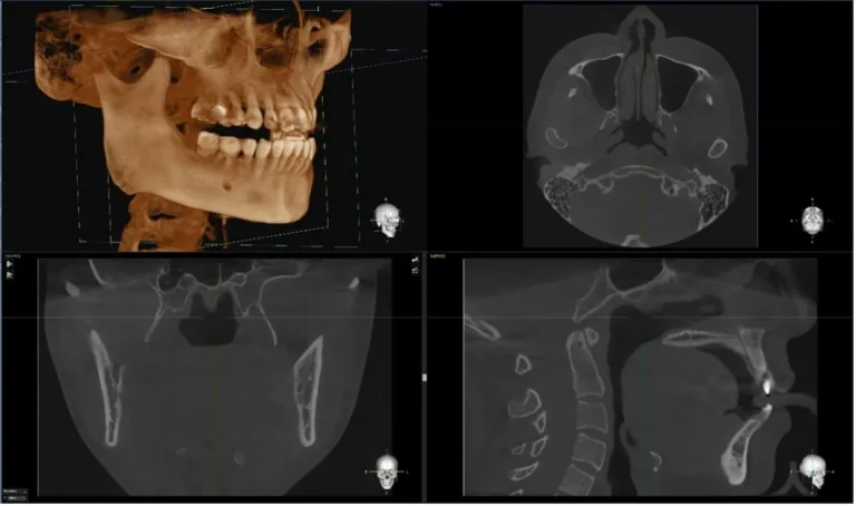
Precizie în diagnostic: voxel de 200 µm pentru CBCT și rezoluție panoramică de 120 µm/pixel.
Versatilitate clinică: potrivit pentru implantologie, chirurgie orală, sinus lift, planificare pre-protetică.
Flux digital rapid: scanare în 19 secunde, reconstrucție automată și integrare DICOM.
Software intuitiv: vizualizare MPR/3D și compatibilitate CAD/CAM (3Shape, Exoplan, NobelGuide).
Siguranță și eficiență: protocoale ALARA, doză redusă și mod pediatric automat.
Design ergonomic: ocupă spațiu redus, ușor de instalat și întreținut.
Dentium este un brand global, prezent în peste 70 de țări, cunoscut pentru implanturile sale cu tehnologie avansată și pentru soluțiile integrate dedicate medicilor stomatologi. Rainbow™ CT 2-in-1 continuă aceeași linie: precizie, stabilitate, ergonomie și flux digital inovator.
Str. Căpitan Alexandru Șerbănescu
nr. 85, sector 1, București
0769.948.354
comenzi@gurskmedica.ro
Program Sediu:
Luni - Vineri: 9:30 - 18:00
Sam - Dum: Închis
© 2026 GURSK Medica - partenerul medicilor stomatologi. Design & dezvoltare by INOVEO